Radiologia Odontoiatrica a Terni
ContattiLa tua salute è al centro dell’impegno quotidiano dello Studio Braconi a Terni che, per garantirti servizi diagnostici tempestivi e precisi, si avvale esclusivamente delle migliori strumentazioni presenti sul mercato, come il nuovissimo Orthophos SL 2D: si tratta di un apparecchio specifico per l’analisi ortodontica, composto da due innovazioni, il Sharp Layer e il sensore DCS. Qui, con tempi di attesa ridotti, potrai usufruire di una qualità dell’immagine senza precedenti, dove la nitidezza è garantita anche nella valutazione dei casi più complessi e l’emissione delle radiazioni è sempre bassissima.
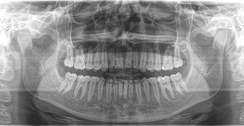
L’obiettivo dell’analisi è quello di valutare lo stato della bocca prima di eseguire un qualsiasi trattamento odontoiatrico, andando a evidenziare eventuali lesioni ossee, infiammatorie o cistiche; analizzare lo stato di salute della dentizione, soprattutto nelle fasi di sviluppo; tenere sotto controllo eventuali malformazioni o constatare la presenza di neoplasie mascellari o mandibolari.


Radiografia specifica per la bocca
Lo studio si avvale di specifiche strumentazioni per assicurarti un’accurata analisi ortodontica. In primis, lo staff medico si affida all’alta tecnologia del sistema Cone Beam NewTon 5G XLUno, fondamentale per settori medici quali implantologia, endodonzia, chirurgia orale e ortodonzia, in grado di creare immagini 3D capaci di mostrare patologie potenziali e anomalie strutturali con una precisione senza precedenti; dall’altra si sottolinea la presenza della tecnologia SafeBeam™, il sistema più sicuro sia per i pazienti che per lo staff medico. Grazie a questo strumento, gli esperti eliminano qualsiasi possibilità di esposizioni radioattive, mantenendo un contrasto dell’immagine nitido e definito, a prescindere dalle dimensioni anatomiche o dalla densità ossea osservata.




























