Radiologia 3D a Terni: diagnosi avanzata con tecnologia Cone Beam

L’innovazione tecnologica e la sicurezza rappresentano elementi centrali nell’attività dello Studio Braconi di Terni, riconosciuto come riferimento nella radiologia 3D ortopedica. Il centro è dotato del sistema Newton 5G XL, una tecnologia avanzata che consente di eseguire esami diagnostici altamente precisi in ambito ortopedico.
Questa apparecchiatura permette di analizzare in modo dettagliato diverse aree del corpo, tra cui la colonna cervicale e numerose articolazioni, come gomito, polso, mano, ginocchio, caviglia e piede. Inoltre, consente lo studio di strutture specifiche come seni paranasali e orecchio, offrendo immagini tridimensionali ad alta definizione utili per una valutazione accurata.
Immagini nitide e dettagliate con la tecnologia NewTom 5G XL
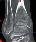
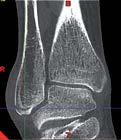
Nell’ambito della radiologia 3D ortopedica, il centro diagnostico utilizza il nuovissimo macchinario NewTom 5G XL, in grado di individuare con la massima precisione la presenza di fratture o lussazioni delle articolazioni, controllare la corretta guarigione di una frattura, valutare una lesione o una ferita causata da infezione, artrite o crescita anormale dell’osso.
Il tutto mediante una semplice e veloce scansione, grazie alla quale si otterranno diverse immagini in 3D ad altissima risoluzione e, per ottenere immagini ancora più nitide mediante un bassissimo dosaggio di radiazioni, gli esperti si avvalgono dell’innovazione racchiusa nella tecnologia Cone Beam.
Alta risoluzione in un’unica scansione
A differenza della radiologia tradizionale, che richiede l’esecuzione di più scansioni, il sistema NewTom 5G XL consente di ottenere immagini ad alta risoluzione attraverso un’unica acquisizione. Questa tecnologia permette di visualizzare in modo chiaro e dettagliato le articolazioni degli arti superiori e inferiori, migliorando l’efficacia dell’analisi diagnostica.
Rispetto alle metodiche bidimensionali, la radiologia 3D ortopedica offre una visione più completa delle strutture anatomiche, rendendo possibile l’individuazione immediata di alcune condizioni specifiche, come alterazioni del metatarso o microfratture ossee, che richiedono un livello di dettaglio elevato per una corretta valutazione.
Servizio d’alta qualità con una minima dose di radiazioni
Un ulteriore elemento distintivo della radiologia 3D ortopedica è rappresentato dalla ridotta esposizione alle radiazioni.
La tecnologia CBCT consente infatti di effettuare esami con una dose significativamente inferiore rispetto alla tomografia computerizzata tradizionale (MSCT), mantenendo al tempo stesso un’elevata qualità delle immagini diagnostiche.



































